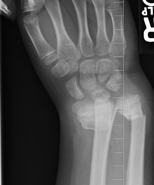
CAMERON’S BROKEN WRIST
⌂ HOME
Trampoline accident • July 30, 2011 • 4 x-rays
⇧ TOP